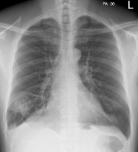
Interpreting Images
| Systematic review | ||
|---|---|---|
| A | Assess Quality Airway | • PA v AP • Count post ribs - 11 for good insp. • Rotation - vertebral spines equally b/w medial clavicle ends |
| B | Bones soft tissues | • symmetry, fractures, osteoporosis, and lesions. • soft tissues for foreign bodies, swelling, and subcutaneous air. |
| C | Cardiac | • should be <50% of the chest diameter on PA films and <60% on AP films. • Check for the heart shape, calcifications, and prosthetic valves. |
| D | Diaphragm | • shape may be flat with COPD,tension pneumothorax •R higher than L • look for free gas below |
| E | Effusions Extra-thoracic | • costo-phrenic angles for sharpness |
| F | Fields Fissures FB | • masses, consolidation, vessels, bronchograms • ?fluid in fissures, change of position • FB's- ETT, CVC, NG tubes, other |
| G | Great vessels Gastric bubble | • aortic knuckle size and shape • gastric bubble not displaced? |
| H | Hilar mediastinum | • LNs, Ca++, masses • widening - suggestion of dissection • displacement - suggestion of mass • angle of main bronchi - suggestive of collapse, masses • L hilum should NEVER be lower than R |
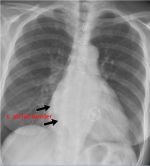
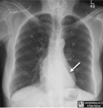
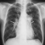
Specific signs
| Systematic review | ||
|---|---|---|
| B | • Bowel gas | • 3,6,9 rule - small bowel <3cm, large bowel <6cm, caecum and sigmoid <9cm |
| B | • Bones | • ribs, lumbar vertebrae, sacrum, coccyx, pelvis and proximal femurs |
| C | • Calcification • artifacts | • arterial Ca++, phelobliths, calculi • clips, tubes, implants |
Specific signs
References include:
https://radiopaedia.org/articles/chest-radiograph-assessment-using-abcdefghi?lang=gb
https://radiopaedia.org/articles/abdominal-x-ray-an-approach-summary?lang=gb
https://www.radiologymasterclass.co.uk/
http://rad.desk.nl
http://www.revise4finals.co.uk/medicine/multimedia/chestxrayabnorm.php
Chest J. Imaging pulm HT 2019

















